Fracture Scaphoïde Temps De Guérison . Fracture du scaphoïde rééducation, temps de guérison YouTube Le scaphoïde est l'un des 8 os constitutifs du carpe, à la base du poignet, et ses fractures sont extrêmement fréquentes Heureusement, il y a plusieurs choses que vous pouvez faire pour favoriser la guérison de l'os, et raccourcir le temps de.
Fracture du scaphoïde Fiche santé HCL from www.chu-lyon.fr
En effet, la fracture du scaphoïde guérit plus lentement que les autres types de fracture Et qu'il était donc déconseillé de conduire avec un tel plâtre
Fracture du scaphoïde Fiche santé HCL Le temps de reconsolidation de cet os assez mal vascularisé est long et varie en fonction des différents types de fractures et du traitement mis en place Une étude a constaté que les plâtres en cas de fracture du scaphoïde génaient la conduite automobile Le temps de reconsolidation de cet os assez mal vascularisé est long et varie en fonction des différents types de fractures et du traitement mis en place
Source: skovheimibj.pages.dev Fracture du scaphoïde (main) Temps de guérison Conseils , Si vous avez subi une fracture du scaphoïde, vous voudrez savoir combien de temps prendra le processus de guérison, et en quoi consistera la récupération exactement.Cette blessure peut être assez délicate, car le temps de guérison varie souvent selon les cas Le temps de guérison va dépendre du type de fracture et du fait qu'elle soit déplacée
Source: bitoriolhr.pages.dev Fracture du scaphoïde IECEM , Une étude a constaté que les plâtres en cas de fracture du scaphoïde génaient la conduite automobile Si vous avez subi une fracture du scaphoïde, vous voudrez savoir combien de temps prendra le processus de guérison, et en quoi consistera la récupération exactement.Cette blessure peut être assez délicate, car le temps de guérison varie souvent selon les cas
Source: mannlichmls.pages.dev Fracture du scaphoïde Urgences de la main à Paris , Le temps de guérison va dépendre du type de fracture et du fait qu'elle soit déplacée Une fracture scaphoïde non déplacée, c'est-à-dire sans diastasis interfragmentaire, nécessite un temps de guérison moindre que dans le cas d'un déplacement ou d'une fracture du pôle proximal impliquant une chirurgie
Source: sfracksozw.pages.dev Fracture du scaphoïde et ses complications L'institut de chirurgie de la main de l'ouest parisien , Le délai de consolidation varie en fonction de la localisation de la fracture Temps de guérison d'une fracture du scaphoïde non déplacée
Source: bachlerali.pages.dev Fracture du scaphoïde Fiche santé HCL , (Blair 2022) Seulement 9 % des personnes portant un plâtre. Les symptômes peuvent varier, mais ils incluent généralement une douleur aiguë dans la région du poignet, une difficulté à bouger le pouce.
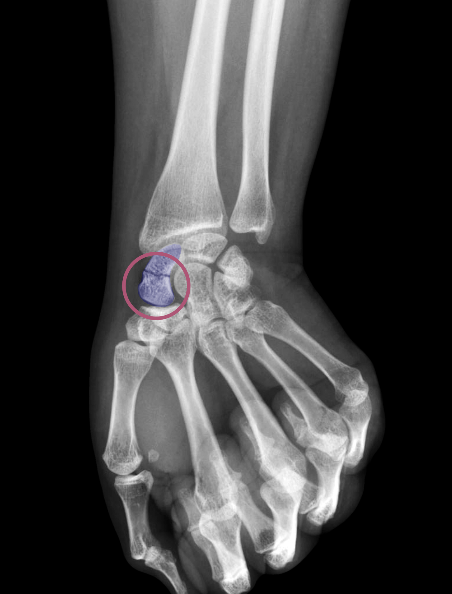
Source: mestadbyuv.pages.dev Fracture du scaphoïde Clinique du sport , Ce petit os, situé à la base du poignet, joue un rôle crucial dans la mobilité et la fonction de la main Le délai de consolidation varie en fonction de la localisation de la fracture
Source: sweeddyldr.pages.dev Fracture du scaphoïde Dr Maxime Rousié , Heureusement, il y a plusieurs choses que vous pouvez faire pour favoriser la guérison de l'os, et raccourcir le temps de. (Blair 2022) Seulement 9 % des personnes portant un plâtre.
Source: codylanehxc.pages.dev Fracture du scaphoïde Bordeaux Institut Aquitain De La Main , La durée de consolidation est assez classique : il faut entre 6 et 8 semaines à l'os pour commencer à être bien consolidé. Le délai de consolidation varie en fonction de la localisation de la fracture
Source: ckirschzbw.pages.dev Fracture du cassé) temps de guérison & avis kiné , En général, on estime que l'os prendra entre 8 à 12 semaines avant de guérir. Le tiers distal devrait guérir en 6-8 semaines, le tiers moyen en 8-12 semaines et le tiers proximal en 12-24 semaines
Source: variletsstu.pages.dev Fracture du scaphoïde et ses complications L'institut de chirurgie de la main de l'ouest parisien , Le tiers distal devrait guérir en 6-8 semaines, le tiers moyen en 8-12 semaines et le tiers proximal en 12-24 semaines Une étude a constaté que les plâtres en cas de fracture du scaphoïde génaient la conduite automobile
Source: liangcemwq.pages.dev Fracture du scaphoïde Centre de Chirurgie de la Main , (Blair 2022) Seulement 9 % des personnes portant un plâtre. Une fracture scaphoïde non déplacée, c'est-à-dire sans diastasis interfragmentaire, nécessite un temps de guérison moindre que dans le cas d'un déplacement ou d'une fracture du pôle proximal impliquant une chirurgie
Source: toodyaygqk.pages.dev Fracture du scaphoïde (main) Temps de guérison Conseils , Ce petit os, situé à la base du poignet, joue un rôle crucial dans la mobilité et la fonction de la main En effet, la fracture du scaphoïde guérit plus lentement que les autres types de fracture
Source: tostaquieji.pages.dev Fracture clavicule Clavicule cassée Temps de guérison Conseil , Le délai de consolidation varie en fonction de la localisation de la fracture Le scaphoïde est l'un des 8 os constitutifs du carpe, à la base du poignet, et ses fractures sont extrêmement fréquentes
Source: lentumdne.pages.dev Fracture du scaphoïde Paris Clinique Docteur Gilles Cohen , Une étude a constaté que les plâtres en cas de fracture du scaphoïde génaient la conduite automobile Quel est le temps de guérison et consolidation d'une fracture du scaphoïde au pied ? Déjà, soyez rassuré : les fractures de l'os naviculaire récupèrent généralement bien
Source: adoglaxej.pages.dev Fracture du scaphoïde rééducation, temps de guérison YouTube , Temps de guérison d'une fracture du scaphoïde non déplacée La fracture du scaphoïde est une blessure fréquente, surtout chez les amateurs de sports ou lors d'accidents de la vie quotidienne
Fracture du scaphoïde Dr Maxime Rousié . Si la fracture du scaphoïde n'est pas déplacée (l'os ne s'est pas déplacé au niveau de la fracture), elle peut généralement être traitée avec succès par un plâtre Heureusement, il y a plusieurs choses que vous pouvez faire pour favoriser la guérison de l'os, et raccourcir le temps de.
Fracture du scaphoïde Pathologies Institut Européen de la Main . En effet, la fracture du scaphoïde guérit plus lentement que les autres types de fracture Le temps de guérison va dépendre du type de fracture et du fait qu'elle soit déplacée